BOUTIQUEResources
In recent years, antibodies and antibody fragments have attracted significant attention in the field of biotherapeutics and diagnostic applications, with many antibody-based drugs entering the commercial production stage. Compared to full-length antibodies, antibody fragments exhibit lower molecular weight, better tissue penetration, and minimal complex glycosylation. They can be expressed using a variety of prokaryotic or eukaryotic cell culture platforms, making them a research hotspot for many biotech companies. Unlike full-length antibodies, many antibody fragments lack an Fc region in their molecular structure, which prevents capture using traditional Protein A affinity chromatography resins. In contrast, Protein L affinity chromatography resins—capable of binding to the variable region of antibody light chains—provide a reliable technical approach for antibody fragment capture. However, common commercial Protein L affinity chromatography resins generally suffer from low stability: they cannot withstand cleaning with high-concentration alkaline solutions, exhibit severe ligand leakage, and are expensive. These issues pose significant challenges to purification processes.
Fabsorbent? F1P HF is an affinity chromatography resin launched in recent years by Astrea Bioseparations. Its matrix consists of highly cross-linked agarose with a uniform particle size, and the matrix is modified with chemically synthesized small-molecule ligands, enabling efficient capture of various antibody fragment molecules. Compared to Protein L affinity chromatography resins, Fabsorbent? F1P HF offers a broader binding range and can tolerate cleaning with up to 1M NaOH. Its key advantages are summarized as follows:
· Broad binding range: It binds to both kappa-type and lambda-type light chains, and also exhibits binding capacity for some non-human-derived antibodies (e.g., murine-, bovine-, and ovine-derived antibodies). It is widely applicable for the capture of F(ab’)?, Fab, scFv, VL, and IgG.
· Small-molecule chemically synthesized ligands: Free of animal-derived components, ensuring excellent stability and high safety.
· Alkali tolerance: The resin can withstand cleaning and disinfection with 0.5–1M NaOH, delivering effective cleaning and a long service life.
Application Case 1: Capture of F(ab’)? Antibody Fragments Using Fabsorbent? F1P HF
In this test case, researchers used pepsin to hydrolyze full-length IgG into Fc and F(ab’)? fragments, which were then loaded onto a Fabsorbent? F1P HF chromatography column. The process parameters are shown in the table below:
|
Chromatography Column |
CV=10mL |
|
Chromatographic Resin |
FabsorbentTM F1P HF |
|
Flow Rate |
250cm/h |
|
Equilibration Buffer |
25mM Tris-HCl, pH 8.0 |
|
Elution Buffer |
50mM sodium citrate, pH 3.0 |
|
Cleaning |
0.5M NaOH |
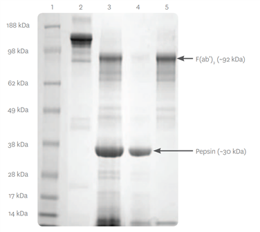
As can be seen from the chromatogram in Figure 1 and the SDS-PAGE electrophoresis profile in Figure 2, Fabsorbent? F1P HF can efficiently capture the F(ab’)? fragments in the feed solution. After elution, high-purity F(ab’)? molecules are obtained, and the pepsin added before chromatography is effectively removed.

Figure 1: Chromatogram of F(ab’)? Capture Using Fabsorbent? F1P HF

Figure 2: SDS-PAGE Electrophoresis Profile (Lane 1: Molecular Weight Marker; Lane 2: IgG Standard; Lane 3: Feed Solution After Pepsin Hydrolysis; Lane 4: Flow-Through and Wash Solution; Lane 5: Elution Buffer)
Application Case 2: Capture of CHO-Expressed Fab Antibody Fragments Using Fabsorbent? F1P HF
In this application case, researchers used CHO cells to express Fab antibody fragments. After clarification of the cell harvest, the solution was loaded onto a Fabsorbent? F1P HF chromatography column. The process parameters are shown in the table below:
|
Chromatography Column |
10mm×5cm,CV=4mL |
|
Chromatographic Resin |
FabsorbentTM F1P HF |
|
Flow Rate |
300cm/h,上樣流速50cm/h |
|
Equilibration Buffer |
50mM sodium phosphate, pH 8.0 |
|
Loading
|
Clarified CHO Cell Harvest (containing Fab), pH 8.0 |
|
Elution Buffer(Testing 1) |
50mM sodium citrate, pH 3.0 |
|
Elution Buffer(Testing 2) |
50mM sodium acetate, pH 4.0 |
|
Elution Buffer(Testing 3) |
50mM glycine-NaOH, pH 9.0 |
|
Elution Buffer(Testing 4): |
50mM sodium acetate, pH 4.0 |
|
Cleaning |
0.5M NaOH |
The study also investigated different elution process conditions: Test 1 used an isocratic elution method at pH 3.0; Test 2 adopted an isocratic elution method at pH 4.0; and Test 3 first performed post-loading washing with a glycine buffer at pH 9.0, followed by isocratic elution with an acetate buffer at pH 4.0.
As can be seen from the SDS-PAGE electrophoresis profile in Figure 4, Fabsorbent? F1P HF can effectively capture the Fab antibody fragments in the cell harvest. All three elution methods ensured a target Fab purity of over 90% with extremely high recovery rates. Among them, under the elution conditions of Test 2, the Fab purity and recovery rate were the highest. Under the conditions of Test 3, washing with a glycine buffer at pH 9.0 before elution could remove a small amount of impurity proteins that were non-specifically bound.
Figure 3: Chromatogram of Fab Capture Using Fabsorbent? F1P HF (Test 2)

Figure 4: SDS-PAGE Electrophoresis Profile (Lane 1: Molecular Weight Marker; Lane 2: Purified Fab Control; Lane 3: Clarified CHO Cell Harvest; Lane 4: Flow-Through of Test 1; Lane 5: Elution Buffer of Test 1; Lane 6: Flow-Through of Test 2; Lane 7: Elution Buffer of Test 2; Lane 8: Regeneration Buffer of Test 2 (citrate, pH 3.0); Lane 9: Flow-Through of Test 3; Lane 10: Wash Solution of Test 3; Lane 11: Elution Buffer of Test 3)
Application Case 3: Capture of E. coli-Expressed VL Antibody Fragments Using Fabsorbent? F1P HF
In this application case, researchers used E. coli to express VL antibody fragments. After cell lysis and clarification, the solution was directly loaded onto a Fabsorbent? F1P HF chromatography column. The process parameters are shown in the table below:
|
Chromatography Column |
CV=1mL |
|
Chromatographic Resin |
FabsorbentTM F1P HF |
|
Flow Rate |
Retention Time = 3 min |
|
Equilibration Buffer |
25mM Tris-HCl, pH 9.0 |
|
Elution Buffer |
50mM sodium citrate, pH 3.0 |
|
Cleaning |
0.5M NaOH |
As can be seen from the chromatogram in Figure 5 and the SDS-PAGE electrophoresis profile in Figure 6, Fabsorbent? F1P HF can effectively capture the VL antibody fragments in the complex feed solution. A large amount of impurity proteins are removed during the loading and washing processes, and after elution, the target molecule VL with extremely high purity can be obtained.

Figure 5: Chromatogram of VL Capture Using Fabsorbent? F1P HF

Figure 6: SDS-PAGE Electrophoresis Profile (Lane 1: Molecular Weight Marker; Lane 2: Clarified E. coli Lysate; Lane 3: Flow-Through; Lane 4: Wash Solution; Lane 5: Elution Buffer; Lane 6: Cleaning Solution)
Technical Specifications of Fabsorbent? F1P HF Affinity Chromatographic Resin
|
Ligand: |
Chemically Synthesized Triazine-Based Ligand |
|
Scaffold
|
Highly Cross-Linked Agarose with Uniform Particle Size (PuraBead® 6HF) |
|
Average Particle Size |
90±10μm |
|
Binding Capacity
|
Human Fab: 20mg/ml adsorbent
Human IgG: ≥40mg/ml adsorbent |
|
Operating Flow Rate
|
up to 500cm/h |
|
pH Stability
|
3-13 (Long-term Test Data for Periods Exceeding Three Months) |
|
Cleaning/Sanitization
|
0.5-1M NaOH, 25℃ |
|
Storage
|
20% Ethanol,2-30℃ |
Product Information for Fabsorbent? F1P HF Affinity Chromatographic Resin
Bulk Resin
|
Item Number |
Product Name |
Specification |
|
3904-00025 |
FabsorbentTM F1P HF |
25 mL |
|
3904-00100 |
FabsorbentTM F1P HF |
100 mL |
|
3904-00500 |
FabsorbentTM F1P HF |
500 mL |
|
3904-01000 |
FabsorbentTM F1P HF |
1 L |
Prepacked Column
|
Item Number |
Product Name |
Specification |
|
6632 |
4 x 1 ml預(yù)裝柱 |
|
|
6633 |
4 x 5 ml預(yù)裝柱 |
|
|
2233 |
FabsorbentTM F1P HF PuraPlate |
96孔板 |
Reference
1. S. Kittler et al., Protein L-more than just an affinity ligand, 2021
2. Brochure: Purify and capture of antibody fragments with a new synthetic ligand affinity adsorbent FabsorbentTM F1P HF, Astrea Bioseparations
3. Technical Note: Fab and F(ab’)2 fragment purification from CHO cell culture supernatant using Fabsorbent? F1P HF, Astrea Bioseparations
4. Technical User Guide: FabsorbentTM F1P HF, Astrea Bioseparations
Astrea Bioseparations was incubated from the University of Cambridge in 1987. With over 30 years of experience in the R&D and production of chromatographic media, it is a world-class supplier of chromatographic media products and services. To date, more than 21 manufacturing processes using Astrea's products have obtained approvals from the FDA (U.S. Food and Drug Administration) and EMA (European Medicines Agency).
Astrea Bioseparations has 3 R&D and production bases worldwide, focusing on providing industry-leading chromatographic media and technical services for the fields of biomacromolecules and CGT (Cell and Gene Therapy). The novel nanofiber-based chromatographic technology launched by Astrea Bioseparations addresses the issues of low capacity and time-consuming processes associated with traditional bioseparation tools. It enables faster, more environmentally friendly, and more cost-effective purification processes, fully aligning with the needs of today's biotherapeutic innovation.
XMJ is the authorized distributor of Astrea Bioseparations in China, providing users with comprehensive technical support and after-sales service. For more information, please feel free to send email to info@xmjsci.com or visit the official website at www.whuzsb.com.
京公網(wǎng)安備 11010802028692號(hào)